你是否听说过“肾上腺腺瘤”?这个名字听起来可能有些陌生甚至吓人,但其实它比你想象中要常见,而且绝大多数是“良民”。
肾上腺是位于肾脏上方的两个小腺体,左右各一个,虽然体积只有拇指大小,却是人体重要的内分泌器官,能分泌多种激素,比如调节血压的醛固酮、应对压力的皮质醇,以及少量性激素等,这些激素维持着身体的水盐平衡、新陈代谢和应激反应。堪称身体的“激素工厂”。
然而,当肾上腺出现异常增生,形成肾上腺腺瘤时,可能会给患者的健康带来一系列潜在的风险和挑战。

什么是肾上腺瘤?
肾上腺腺瘤是指发生在肾上腺的肿瘤,通常很小,像一颗小豆子。肾上腺腺瘤的关键区别在于是否会“捣乱”——也就是是否分泌过量激素,医学上分为“功能性腺瘤”和“无功能性腺瘤”。
无功能性腺瘤:安静的“旁观者”:大多数肾上腺腺瘤属于这一类,它们不分泌多余激素,也不会引起明显症状。就像身体里一个“沉默的小疙瘩”,没有任何症状,往往是在体检做腹部CT或B超时意外发现的。大小一般在1~3厘米。这类腺瘤生长缓慢,不会对健康造成危害。
功能性腺瘤:会“惹麻烦”的“活跃分子”。少数腺瘤会异常分泌激素,从而引发一系列症状,常见的有三种类型:
①分泌醛固酮的腺瘤:会导致血压升高(尤其是年轻且药物难以控制的高血压),还可能出现低血钾,导致肌肉无力、麻木。
②分泌皮质醇的腺瘤:可能引起“库欣综合征”,表现为向心性肥胖(肚子大、四肢瘦)、满月脸(脸变圆)、背变厚(水牛背),痤疮、皮肤紫纹,还可能伴随血糖升高、骨质疏松。
③分泌性激素的腺瘤:比较少见,可能导致性早熟(儿童)或女性男性化(如多毛、月经紊乱)、男性女性化等。

如何诊断肾上腺腺瘤?
对于肾上腺腺瘤的诊断,需要综合运用多种检查手段。实验室检查如激素水平测定,有助于判断肿瘤是否具有功能性以及分泌的激素类型。影像学检查,如CT、MRI等,能够清晰地显示肿瘤的位置、大小、形态等特征,为诊断和治疗提供重要根据。
如果体检发现肾上腺腺瘤,首先要明确它是否“有功能”:通过CT或MRI明确腺瘤的大小、位置、形态,帮助判断性质。
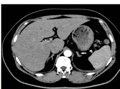
肾上腺CT正常表现
1.形态:形态各异;右侧:斜线状、倒“V”、倒“Y”形;左侧: 倒“V”、倒“Y”形或三角形;三维重建呈叶状。
2.大小: 侧支厚度<10mm;侧支厚小于同侧膈肌脚,面积小于150mm。
3.密度: 均匀,边缘光滑,无外凸结节。
4.强化: 均匀,边缘光滑。

肾上腺腺瘤CT表现
1.肾上腺腺瘤发生于肾上腺皮质,含脂质;
2.直径多小于3cm;
3.CT值<10HU;
4.出血、坏死、囊变少见;5.CT增强:早期快速廓清

◆血液/尿液检查:检测激素水平,比如醛固酮、皮质醇、儿茶酚胺等,确定是否存在激素分泌异常。
发现了肾上腺腺瘤怎么办?
别慌张!第一步是去看内分泌科医生。医生会帮你做两件事:
1.定性诊断:通过抽血、留尿等检查,判断这个腺瘤是否在过量分泌激素。
2.定位诊断:通过CT或MRI等影像检查,看清它的具体大小和形态。
需要治疗吗?
这取决于腺瘤的“性格”:
1.无功能腺瘤:如果它不分泌激素且体积较小(通常<4cm),一般无需处理,定期复查观察即可。
2.功能性腺瘤:由于会引发高血压、代谢异常等问题,通常建议手术切除(多采用腹腔镜微创手术,创伤小、恢复快),术后激素水平和症状多能恢复正常。少数情况下,若腺瘤体积较大(如>4厘米)或增长迅速,即使无功能,也可能建议手术,以防恶变(虽然恶变概率极低)。
肾上腺腺瘤大多是良性的“纸老虎”。体检发现它,不必过度焦虑,但也不能完全忽视。
最重要的是寻求专业医生的帮助,进行系统评估,并遵循医嘱进行随访或治疗。