在杨秀慧教授、刘继烈主任的带领下,我科诊断一例肺栓塞、抗磷脂综合征病例;
患者胡某,男性,73岁,因“间断心悸、胸闷20天”入院;20日前活动后出现心悸,伴胸闷、出汗等症状,不伴胸痛、气短、呼吸困难、恶心、呕吐、黑曚、全身乏力等,持续约数分钟及数小时不等,非突发突止,休息后改善,未予以重视。之后上述症状间断发作,每与活动有关,轻度活动后即可出现,休息后改善,一般情况尚可。
患者既往“肺栓塞”病史;
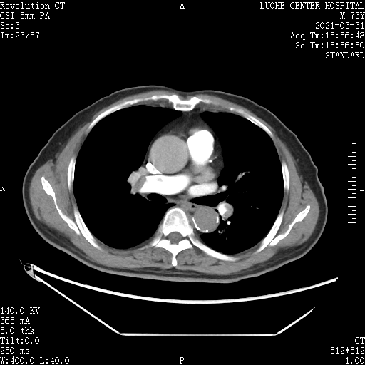
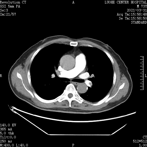
入院各项化验检查结果仅D-聚体:5.02ug/ml,指脉氧波动与90%-92%,其余肝肾功能、甲状腺功能、胸部CT、冠状动脉CTA、心脏彩超等均未见明显异常。
完善肺动脉CTA提示:

患者无长期卧床等静脉血栓危险因素,反复出现肺栓塞,建议行免疫指标检验;

患者诊断考虑为:抗磷脂综合征,肺栓塞,给予口服“华法林”抗凝治疗,嘱定期复查。