一、什么是肛瘘?
肛门直肠瘘是指肛管或直肠与肛周皮肤之间形成的慢性肉芽肿性通道。肛周脓肿与肛瘘属于同一疾病的不同发展阶段:肛周脓肿为急性期,多数是由于肛腺阻塞感染形成脓肿,以肛周皮下和坐骨直肠窝脓肿最为常见;肛瘘则是肛周脓肿后期,为炎症的慢性化阶段,30-70%的肛周脓肿患者伴发肛瘘,即使没有伴发肛瘘,大部分在脓肿引流后也会演变成肛瘘。该疾病可发生于任何年龄,常见于30–40岁人群。
二、临床表现
患者常表现为肛周反复肿痛、局部破溃流脓、分泌物增多等。治疗的关键在于明确瘘管的走向、准确识别内口位置以及是否存在潜在的脓腔。
三、影像学诊断的价值
磁共振(MRI)检查的目的是为了判断内口、外口的位置、数目;瘘管走形、瘘管与括约肌复合体之间的关系;判断是否合并脓肿;寻找分支瘘管或窦道;判断活动性与非活动性,从而为临床诊断与治疗规划提供重要参考。




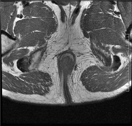
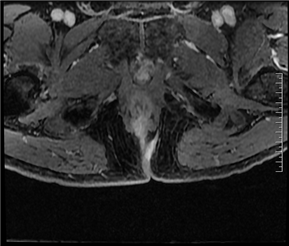
(MRI影像示意图,展示肛瘘常见表现)
在MRI图像中:
◆ 活动期肛瘘MR常表现为T2WI高信号,增强明显强化;
◆ 寻找内口以T1WI增强序列最佳,其次为T2WI抑脂序列,内口影像表现为括约肌内点状T2WI高信号,明显强化或括约肌受牵拉,括约肌间隙消失;
◆ 直径<1CM为瘘管,瘘道的管径最宽处直径>1CM的局限膨隆为脓肿;
◆ 肛瘘愈合期或慢性期,T2WI常表现为低信号,强化减弱或无强化。
四、MRI在肛瘘诊疗中的角色
MRI能有效识别瘘管分支、潜在脓腔及疾病活动性,帮助医生制定更精准的治疗方案,尤其在复杂肛瘘或术后评估中具有重要价值。
重要提示:本文内容仅为医学科普,旨在帮助公众了解相关疾病与检查方法,不能替代专业医师的诊断与建议。如有相关症状,请及时到正规医疗机构就诊。文中信息基于公开医学知识整理,图片版权归原作者所有,请勿用于商业传播。