随着人民群众生活水平的不断提高,各种潮流也层出不穷,比如纹身已经从当年“不良少年”标志成为了年轻一代推崇的生活方式、乃至“青春标配”。不过,纹身对于机体来说毕竟是创伤,而纹身所用颜料、尤其红色颜料更是容易导致过敏反应。遗憾的是,目前对于这方面的组织病理学研究甚少。
近日,荷兰阿姆斯特丹大学医学中心专家Sebastiaan等人在著名的皮肤病理专业杂志《Am J Dermatopathol》发表文章,回顾性分析了74例红色纹身颜料过敏患者的组织病理学表现并做了相关讨论分析。为帮助大家更好的了解这一问题,我们将该文中与临床病理关系密切的相关要点编译介绍如下。
简介
纹身目的主要为追求美观、修饰皮肤,有些则为医学目的,比如遮盖瘢痕。放疗标记其实也是一种纹身。不管如何,纹身均有可能导致感染、过敏反应、诱发皮肤的自身免疫性疾病。就引起并发症所用纹身材料的颜色来说,绿色及蓝色最常见,但红色者最常见慢性病变。从症状来说,红色纹身颜料可导致瘙痒、疼痛、不适,临床可表现为明确局限于纹了红色颜料处的凸起包块,或表现为纹身所用红色颜料出现了色泽改变。少见情况下表现为角化过度,罕见情况下则可以出现溃疡及坏死。这些表现可以在纹身数天、数月甚至数年后出现,间隔时间平均12个月。对于红色纹身颜料所致过敏反应来说,活检后组织学检查非常关键,因为同时可以排除其他原因所致的炎症性表现,具体如感染(也包括结核杆菌感染)、自身免疫性疾病(如结节病、银屑病)以及萎缩性皮炎、局部应用纹身护理产品导致的接触性皮炎等情况。需要注意的是,即使相关病变仅局限于一种颜色纹身材料处的皮肤,也有可能是皮肤结节病,这一点早已有文献报道。

图1. 纹身所致副作用的临床表现。(A)左侧前额与(B)左小腿处纹身,均在纹身区红色颜料处出现了凸起、瘢痕样表现,这属于瘢痕型过敏反应。

图2. 左小腿处纹身,红色颜料对应区域出现了显著的角化过度。
原文部分研究要点
该文共计纳入74例患者的相关资料,具体临床信息请参阅原文。组织病理学特点来说,炎症程度重度者占比75.7%;表皮棘层肥厚的情况不一,44.6%并无这一特点,33.8%有这一特点,73.0%的病例存在海绵形成。大部分(64.8%)活检标本在表皮-真皮交界处存在界面活性,绝大部分(91.9%)存在真皮纤维化。93%以上的活检标本中同时可见组织细胞及淋巴细胞,37.9%的标本存在浆细胞,而嗜酸性粒细胞仅见于8.1%的活检标本。其他关于炎症类型的具体情况、炎症深度具体测定等情况,请参阅原文。
图例赏析

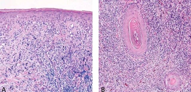
图3. (左)真皮表皮交界处皮炎,且真皮内有以组织细胞为主的炎症细胞浸润,似有模糊肉芽肿表现。(右)毛囊周边的炎症及弥漫性淋巴细胞、组织细胞浸润。

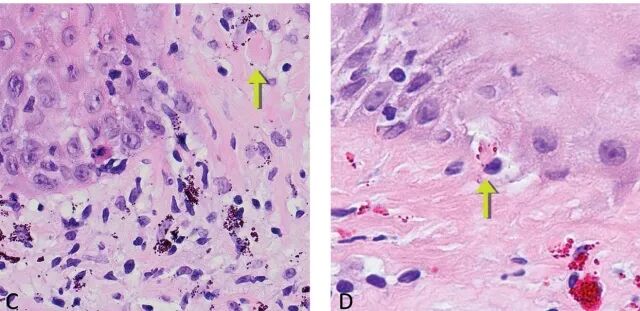
图4. (左)真皮表皮交界处皮炎高倍观,并可见黑色纹身颗粒,淋巴细胞直接侵及胶样小体(Civatte body,箭头所示。即表皮棘层、基底层或黏膜固有层内细胞凋亡形成的圆形或卵圆形小体,平均直径10微米左右,均质嗜酸性,PAS阳性;译者注)。(右)表皮细胞凋亡的例子,凋亡细胞周边可见红色纹身颜料颗粒并有淋巴细胞。

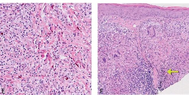
图5. (左)境界不清的模糊肉芽肿结构,图中可见大量红色纹身颜料颗粒。(右)结节病中境界清楚的肉芽肿,图中可见深黑色的纹身颜料颗粒(箭头所示)。
小结
关于纹身颜料
普通的纹身颜料一般可在真皮上层及中层查见色素颗粒,这些颗粒具体可存在于巨噬细胞内、或游离于胶原束之间。本研究中皮肤所有层面几乎均可见色素颗粒,但越到深部越小,且有6例未见色素颗粒。由于本文中活检标本均取自大体为红色颜料纹身处皮肤,所以未见色素颗粒的情况可能是由于巨噬细胞清除了大部分色素所致。
本研究还发现,色素所在深度与炎症程度有关,这可能是因为如果色素在皮肤内层次越深,则炎症刺激程度越重。有3例镜下几乎未见任何炎症,但临床却表现为红色颜料处皮肤凸起型斑块,这可能说明临床所见主要是由于真皮水肿所致、而不是炎症所致。
尽管皮肤所有层面都有可能见到色素,但以真皮为主,这也导致相关治疗困难。此外,不同病例中色素最深层面不一,提示具体治疗和手术范围需因人而异。至于不同病例中色素色泽的差异,可能与纹身时所用颜料种类不同有关。
关于过敏
本研究中,仅有6例(8.1%)活检标本镜下可见嗜酸性粒细胞,这一点与此前相关研究结论(嗜酸性粒细胞检出率11.11%)一致,但与预计中的皮肤过敏反应有显著不一致。这就使我们不得不考虑:红色纹身颜料是否真的会导致过敏?!此前有报道称,多个现实均提示相关病变为IV型超敏反应;但另一方面,红色纹身颜料全身斑贴试验(systematic patch testing)却为阴性。本研究结果提示,红色纹身颜料所致过敏可能属于IV型超敏反应中的某些更为具体的亚型。
参考文献
van der Bent S, Oyen E, Rustemeyer T, Jaspars L, Hoekzema R. Histopathology of Red Tattoo Reactions. Am J Dermatopathol. 2020;10.1097/DAD.0000000000001751.
doi:10.1097/DAD.0000000000001751