乳腺健康是女性关注的重要话题。日常生活中,女性可以通过简单的自我检查来初步了解乳房状况。具体方法是:平躺放松,将食指、中指、无名指并拢,用指腹以稳定的压力,按顺序触摸乳房各个区域,包括腋窝周围。如发现任何异常,应及时咨询专业医生进行进一步检查。
注意:自我检查时应避免用手指抓捏乳房,以免将正常的腺体组织误判为肿块。
在自检过程中,有时可能触摸到一颗像弹珠一样、边界清晰、可以推动的“小球”。这很可能是乳腺纤维腺瘤。下面我们来详细了解一下这种常见的乳腺良性病变。
乳腺纤维腺瘤是一种良性肿瘤,通常不会直接癌变。它好发于育龄期女性,尤其是15-35岁的年轻女性。典型特征为无痛、边界清晰、质地韧实、活动度好的肿块,形态多为圆形或类圆形。常见单发,也可多发或双侧乳房出现。大小一般小于3厘米,但也有个别情况生长较大。
超声检查是首选的影像学评估方法,而病理学检查则是明确诊断的可靠依据。
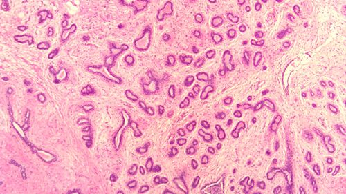
乳腺纤维腺瘤与周围正常腺体组织分界清楚,显微镜下可见其由良性的乳腺上皮和间质成分增生形成,细胞形态温和,无异型性。根据组织形态,可大致分为管内型和管周型,但分型对临床预后并无显著影响。该肿瘤经完整手术切除后,一般不会复发。
(图1:正常乳腺组织小叶)

(图2:边界清晰的管内型纤维腺瘤)

(图3:管周型纤维腺瘤)
发现乳房肿块不必过度恐慌,建议及时就医,由专科医生明确诊断。医生会根据肿块大小、生长速度及患者个人情况,制定个体化的随访或治疗计划。如选择定期观察,务必遵医嘱复查;若肿块较大或短期内明显增大,则通常建议手术处理。
重要提示:本文仅为健康知识科普,不构成任何医疗建议或诊断依据。如有相关健康问题,请务必及时前往正规医疗机构就诊,并遵从专业医生的指导。文中所有图片仅为示意,版权归原作者或出版方所有,严禁用于商业用途。