近日,漯河市中心医院泛血管疾病管理中心通过多学科协作,成功救治一名因车祸导致多发伤合并主动脉夹层的高龄患者,展现出多学科联合诊疗在复杂血管急危重症救治中的积极作用。
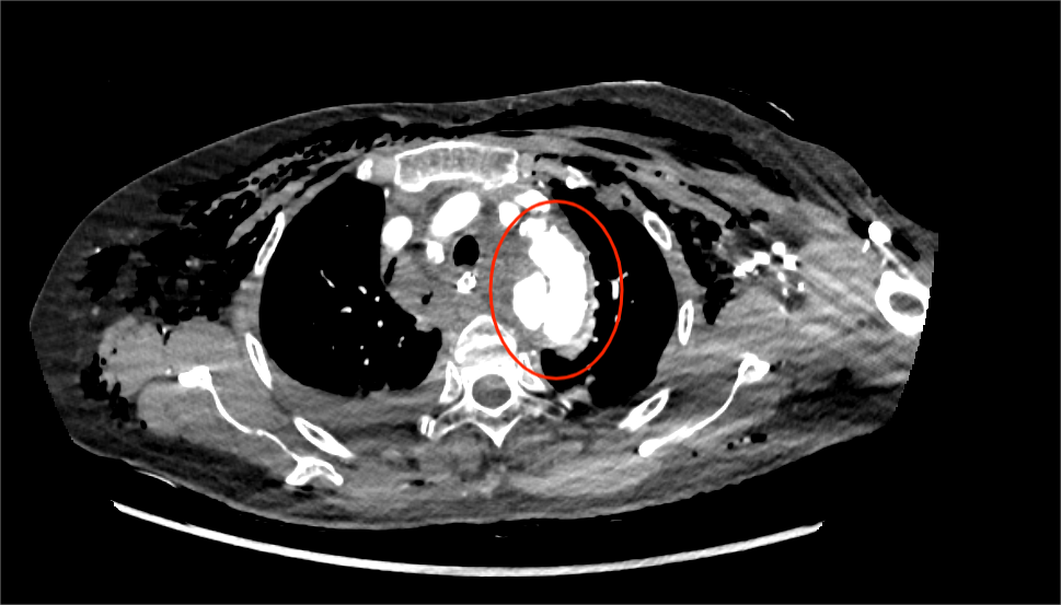
患者路女士,75岁,因车祸后出现胸部疼痛、呼吸困难,被紧急送至医院。检查发现其伤情复杂,包括多发肋骨骨折、锁骨骨折、颅骨及腰椎骨折、脑脊液漏、创伤性血气胸、应激性溃疡伴出血、创伤性休克等,后续进一步诊断为创伤性主动脉夹层(B型)。面对如此涉及多个系统、部位的重症伤情,医院立即启动多学科协作机制。

泛血管疾病管理中心在此过程中发挥了重要的协调与整合功能。中心秉承“全身血管一体考量”的理念,统筹心胸外科、心内科、神经外科、骨科、麻醉科、重症医学科等相关专科资源,为患者制定个性化、系统化的治疗方案。在控制血压、稳定生命体征的基础上,医疗团队先后为患者实施“冠状动脉造影术”、“主动脉覆膜支架腔内隔绝术”及“肋骨骨折切开复位内固定术”。术后,患者经重症监护与心胸外科病房的协同康复,病情逐步平稳,最终好转出院。
本次救治体现了泛血管疾病管理模式以患者为中心、跨学科协作的特点。通过整合医疗资源、优化诊疗流程,该模式为同时存在心、脑、外周等多部位血管病变或相关风险的患者,提供了更为连贯、协调的全周期健康管理服务。
漯河市中心医院泛血管疾病管理中心成立以来,致力于推动血管疾病诊疗从“以单一病种为中心”向“全血管系统管理”转变。今后,中心将继续深化多学科协作,优化诊疗路径,为复杂血管疾病患者提供更加规范、整合的医疗服务,助力提升区域血管疾病综合诊治水平。