你是否正在或者曾经经历怀孕不到足月,就发现宫颈缩短或者宫口开了的情况?这其实是宫颈机能不全造成的,那如何避免因此造成的早产或者流产呢?目前有一种新技术——宫颈超声弹性成像,正逐渐成为其风险预判的参考手段。那为什么要做这个项目呢?这个项目对孩子有没有影响呢?让我带领大家一起了解一下。
什么是宫颈机能不全?
妊娠后宫颈就像是一道门,牢牢的守护子宫。正常情况下,宫颈保持一定的长度,同时也具有一定的硬度,使得宫颈具有足够的承托力。如果把子宫比喻成气球,那么宫颈就是气球的扎口,如果扎口不紧,宝宝就会反复“漏走”。宫颈机能不全的人,就像是扎口没关紧一样,宫颈松弛无力。随着胎儿越长越大,胎儿就会滑落出来,造成了流产或早产。所以,了解这道“大门”的长度和软硬就成了判断是否会早产的征兆。

什么是宫颈弹性成像?
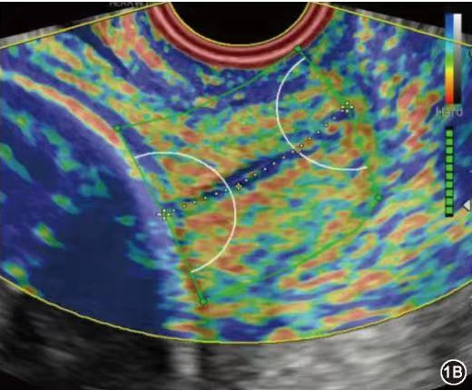
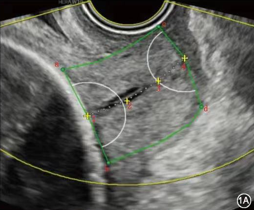
宫颈弹性成像技术是利用生物内部作用力如子宫动脉搏动及呼吸触发宫颈组织应变而获得宫颈各弹性参数,间接评估宫颈硬度,不受操作者影响。该技术是一种相对简便、直观、可重复操作的早产监测手段。应用二维灰阶超声联合E-cervix超声弹性成像,可为评估高危孕妇妊娠宫颈成熟度变化提供参考,对临床早期干预具有一定辅助价值。
为什么要做宫颈弹性成像?
临床上对于无症状高危孕妇一般通过经阴道指检判断宫颈软硬度对孕妇的早产概率进行预测,但该诊断方法尚无统一判定标准,仅凭检查者的主观意识进行诊断,极易影响检查结果。超声宫颈长度被认为是评估早产常用且有效的测量指标,尽管宫颈长度测量已成为临床实践的常见检查,仍有多数宫颈短小且无sPTB病史的孕妇在没有干预的情况下足月分娩,以及较多宫颈长度正常的孕妇发生早产。因为孕期宫颈胶原变化会先于宫颈缩短,而这些变化会让宫颈变软、托举力下降,传统方式(宫颈触诊、宫颈长度测量)难以捕捉。宫颈弹性成像技术有助于更早发现这种改变,并提供宫颈软硬程度的量化参考信息。
做宫颈弹性成像检查之前需要做什么准备吗?
主要通过阴超完成,患者在检查前需排空膀胱。
孕期做阴超安全吗?
经阴道超声检查是国际公认的孕期宫颈机能评估的检查方法,是一种操作简单、结果准确的检测手段,宫颈超声弹性成像单次采集时间很短,对孕妇和宝宝的风险相对较低。宫颈超声弹性成像主要利用孕妇的子宫动脉搏动对宫颈施加压力,不需要通过超声医生手动施压,因此可减少对宫颈及胎儿的直接压迫。宫颈弹性成像能够敏锐地捕捉到宫颈的细微变化,为宝宝的健康监测提供参考信息。相比之下,经腹部或经会阴超声因可重复性差和不准确性而不建议指导临床处理。因此,经阴道超声是评估宫颈机能比较可靠的方法。
那些人要做宫颈弹性成像?
高危人群包括:子宫畸形、大孕周早产/引产史、急产史、双胎、多胎妊娠、妇科手术机械性创伤史(如:子宫颈管内纵隔切开术史、子宫颈锥切术史、子宫颈切除术史或广泛切除术史及反复机械性扩张子宫颈史等)、结缔组织病(胶原纤维少,如:Ehlers-Danlos综合征)等。
不管你是正在备孕还是已经怀孕,希望你们了解宫颈机能不全,但不要惧怕和焦虑,宫颈弹性成像超声既可以帮助监测你的宫颈、指导临床及时干预,还能对你的宫颈成熟度进行产前评估,为您和宝宝的健康提供更多信息参考。
【温馨提示:以上信息仅为科普知识,不能替代专业医疗诊断和建议。个体情况存在差异,如有具体健康问题,请务必前往正规医疗机构咨询专业医生。】