
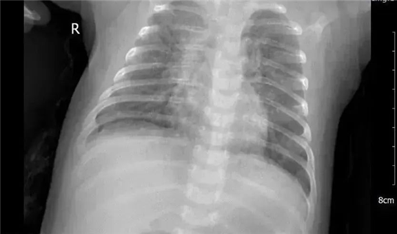
近日,才2个多月的明明(化名)因“反复咳嗽半月余”就诊于我院,门诊考虑“肺炎”收入院,孩子尚小,加上之前一系列治疗无效,这可把新手爸妈急得团团转。住院后检查终于查出背后真凶,原来是沙眼衣原体在捣鬼,孩子确诊沙眼衣原体肺炎,也称“CT肺炎”(Chlamydia trachomatis,CT)。经过我院儿二科医护全力合作,孩子住院1周病情好转出院,家长和孩子露出来久违的笑容。
认识沙眼衣原体

沙眼衣原体是一种能通过细菌滤器、在细胞内寄生、有独特发育周期的原核微生物,与支原体同属于非典型病原体。沙眼衣原体具有较强的传染性,可经由母婴垂直传播,进入人体后可侵袭眼结膜、泌尿生殖系统以及呼吸系统等从而引起不同的症状。
好发年龄
沙眼衣原体肺炎常发生于6个月尤其是小于3个月的小婴儿,主要通过母亲产道传播给新生儿,也可以通过飞沫及接触传播。
临床表现
沙眼衣原体肺炎的大部分患儿早期都表现为双眼分泌物增多等结膜炎症状,病初只有轻微呼吸道症状(鼻塞、流涕),后逐渐加重,大多数无发热,表现为反复的短促咳嗽、呼吸急促。病程迁延,常达数周,如果没有得到适当处理,咳嗽会延续长达2个月。沙眼衣原体肺炎的患儿一般经药物治疗就能治愈,但若存在混合感染或合并其他并发症者,治疗效果则较差。
如何预防
沙眼衣原体肺炎的患儿一般经药物治疗就能治愈,但若存在混合感染或合并其他并发症者,治疗效果则较差。所以,预防很重要!尤其是母孕期的产前检查及早期干预。
1. 母孕期的产前检查:分娩前及时治疗可有效预防产后并发症、胎儿及新生儿感染,为了防止孕妇产后并发症和新生儿感染,应在妊娠后3个月做衣原体感染筛查,以便在分娩前完成治疗。
2.产前干预治疗:产前进行治疗是预防新生儿感染的最佳方法。若新生儿已出生,尽早诊断及治疗可有效阻止疾病进展,减少远期并发症的发生。